
Estudo mostra efeitos da restrição alimentar durante a gestação
Em 08/05/12 09:10.
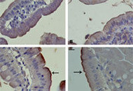
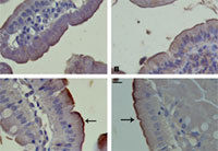
Cientistas da Unesp revelam alterações de enzimas e transportadores no intestino da prole cujas mães sofreram restrição proteica durante a gestação
Fonte: Agência FAPESP
URL relacionada: http://agencia.fapesp.br/15524 |
---|